drgreer.org
Banner
Home About Credentials Mission Links Contact
What is Hand Surgery?
What is Hand Surgery?

The hand is a complex array of bones, ligaments, muscles, tendons, nerves, blood vessels, and skin intricately arranged within a small area. These anatomic structures must be in good working order for the hand to function effectively and comfortably. Disease and injury often affect the hand, leading to pain, dysfuction, or deformity.

Hand Surgery is the field of medicine that includes the diagnosis and both surgical and non-surgical treatment of problematic conditions affecting the upper extremity. Historically, the field primarily dealt with problems of the hand and wrist, as well as the forearm to a limited extent. In recent decades, the majority of hand surgeons in the United States have completed training in orthopedic surgery prior to hand specialty training. This provides a thorough education in conditions affecting the musculoskeletal structures of the entire upper limb. As a result, the term "Hand Surgery" often refers to treatment of any problem from the shoulder to the fingertips. For more discussion of the training of hand surgeons, please visit the Choosing a Hand Surgeon page.

The American Society for Surgery of the Hand, the oldest and most authoritative specialty society regarding hand surgery, provides the following:

Our hands serve many purposes. Hands help us eat, dress, write, earn a living, create art, and do many other activities. To accomplish these tasks and activities, our hands require sensation and movement, such as joint motion, tendon gliding, and muscle contraction.

When a problem takes place in the hand, care must be given to all the different types of tissues that make function of the hand possible. Hand surgeons are specifically trained to give that care:

  • Hand surgery is the field of medicine that deals with problems of the hand, wrist and forearm.
  • Hand surgeons care for these problems without surgery, and they are specially trained to operate when necessary.
  • Many hand surgeons are also experts in diagnosing and caring for shoulder and elbow problems.
  • Hand surgeons are orthopedic, plastic or general surgeons who have additional training in surgery of the hand.
  • To become a member of the American Society for Surgery of the Hand, a hand surgeon must complete a full year of additional training and must pass a rigorous certifying examination. 

© 2009 American Society for Surgery of the Hand. Definition developed by ASSH Council.

 

 

 

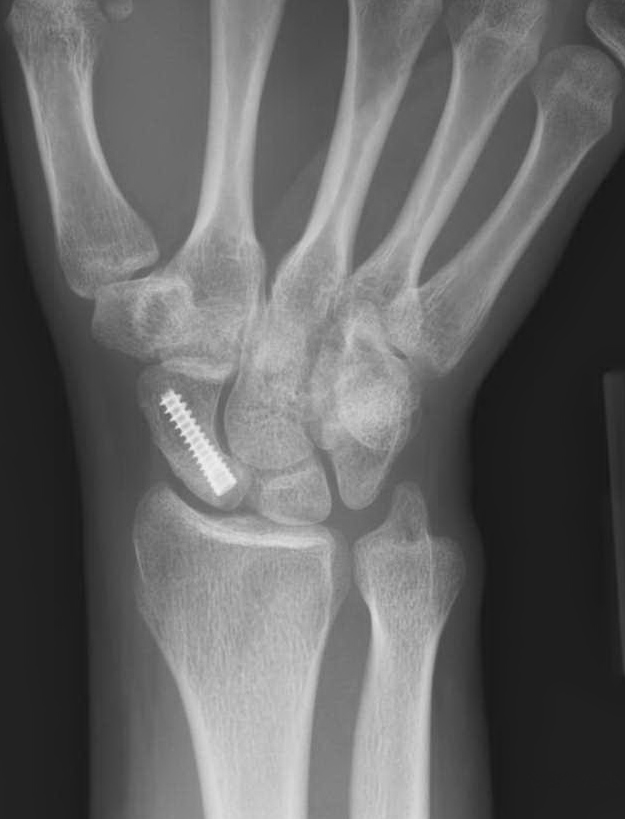
Scaphoid ORIF

Elbow UCL Reconstruction

Endoscopic CTR

 

Choosing a Hand Surgeon

Anatomy & Function

Hand Conditions & Treatments

Patient Information Forms

 

 

 

 

 

 

 

 

 

 

 

 

 

 

 

 

 

 

 

 

 

 

 

 

 

 

 

 

 

 

The Bone & Joint Center

Ferrell-Duncan Clinic

3555 S. National Ave.

Springfield, MO 65807

(417) 875-3800

 

FDC Logo